500ادویات کی قیمتوں میں اضافے کا تعین کرنے کے لیے سروے مکمل April 1, 2026 نگران حکومت نے ڈی ریگولیٹ کی تھیں۔ رپورپ 2 ہفتوں میں جمع ہوگی
انزائٹی کے اثرات ، وجوہات اور بچائو کے طریقے جانیں March 11, 2026 ایک تحقیق میں مختلف عمر کے لوگوں کی نیند اور دماغی سرگرمیوں کا جائزہ لیا گیا
کھانسی کے معروف سیرپ ایسی فائل کی ایک کھیپ مارکیٹ سے ہٹانے کا حکم March 6, 2026 تمام فارمیسیوں، ڈسٹری بیوٹرز اور طبی مراکز کوفروخت اور ترسیل روکنے کی بھی ہدایت
سال 2026 کا پہلا کیس رپورٹ ، سجاول میں 4 سالہ بچہ پولیو کا شکار March 5, 2026 اسلام آباد میں واقع نیشنل انسٹی ٹیوٹ آف ہیلتھ (NIH) کی ریجنل ریفرنس لیبارٹری نے کیس کی تصدیق کی۔
کچرے کی سمگلنگ سے عالمی ماحول اور صحت عامہ کو شدید نقصان February 26, 2026 قوانین اور ضوابط کے غیر مربوط نظام کی وجہ سے ذمہ دار احتساب سے بچ نکلتے ہیں۔ اقوام متحدہ
اینٹی بائیوٹک ادویات کے بے جا استعمال سے پاکستان میں لاکھوں اموات کا خدشہ February 23, 2026 ایسے کئی بیکٹیریاز کوانتہائی خطرناک زمرے میں رکھا گیا ہے جو پیچیدہ انفیکشن کا باعث بنتے ہیں
پولن الرجی کی روک تھام اوربچائو کیسے کیا جائے، ایڈوائزری جاری February 21, 2026 اوائل سے وسط مارچ کے دوران سطح بڑھ جاتی ہے۔متاثرہ افراد کو ضروری احتیاطی تدابیر اختیار کرنے کا مشورہ
شوگر کی حالت میں روزہ رکھنے کے لیے کھانے پینے کی یہ احتیاطیں ضروری ہیں February 20, 2026 زیادہ فائبر والی غذائیں جیسے براون رائس اور دلیا زیادہ آہستہ سے جذب ہوتے ہیں
سرجیکل رضامندی: مریض اور معالج کے مابین اعتماد اور شفافیت کی ضمانت February 20, 2026 ہسپتالوں میں آپریشن سے قبل جس فارم پردستخط کرائے جاتے ہیں، وہ فریقین میںاعتماد کی بنیاد رکھتا ہے
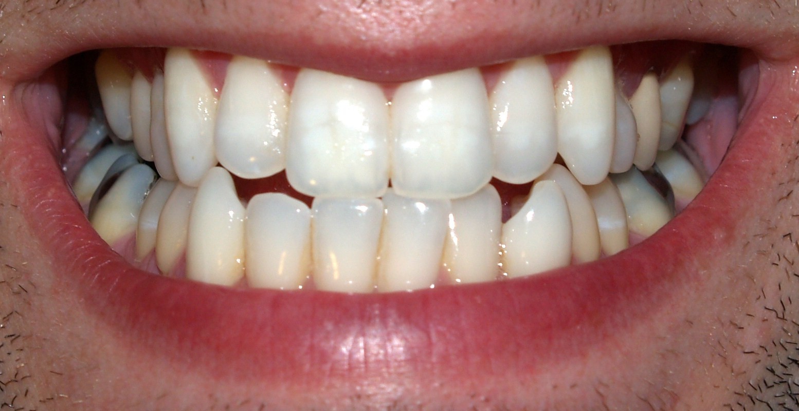
انسانی دانت تیسری بار اگانا بھی ممکن، سائنس کی حیرت انگیز دریافت February 17, 2026 USAG1 نامی جین سے بننے والی پروٹین کو نشانہ بنا کر دانتوں کی تعداد بڑھائی جا سکتی ہے